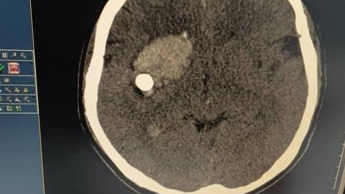
Семилетний ребенок выстрелил из тира в своего брата в возрасте 7 месяцев — пуля застряла в черепе

Обновлено 14.11.2025 23:59

Turmush в Threads — подпишись!

Данная статья является интеллектуальной и авторской собственностью издания Turmush. Перепечатка материала с сайта невозможна без письменного разрешения редакции.
12154
×